
Have you ever had a cold that causes nasal discharge? However, colds are very common because of germs in the air. Empyema is also the same as it has the germy fluid and is created by an infection in the internal cavity. Empyema is a condition in which pus is collected in pleural space and is a form of pleural effusion. It is a medical term used for pus pockets, and the condition occurs when a bacterial infection remains untreated or does not respond completely to the treatment. Empyema is a serious condition that needs immediate medical attention and can cause chest pain, mucus, coughing, fever and shortness of breath. Pneumonia is a top risk factor for empyema in the lungs followed by Tuberculosis. With proper on-time treatment, you may avoid long-term lung damage. It is crucial for people to know the importance of early intervention, as the cases are increasing day by day. To get yourself checked and treated immediately for empyema treatment in Delhi, consult Dr. Harsh Vardhan Puri, one of the best thoracic surgeon in gurgaon and lung transplant specialist.
Empyema is a lung condition that causes pus to collect in the body, generally in the lung cavity. When pus builds up around the lung, it becomes very difficult for the organ to expand when you inhale. This difficulty in lung expansion causes pain when you inhale, which leads to shortness of breath as you try to avoid breathing deeply. The specialist will check for many other symptoms before starting your empyema treatment in Delhi. However, empyema can be simple and complex.
It is the condition's early stages, and a person experiences free-flowing pus. For this stage, another name is the exudative phase. The symptoms are :
This occurs in the later stages of the illness, when the inflammation is severe. The stage is called loculation and is difficult to treat. This stage is also known as fibrinopurulent phase. Symptoms of complex Empyema are :
Empyema occurs due to an infection that spreads directly from the lungs, leading to pus buildup in the pleural space. The condition is most commonly present as complications of pneumonia.
A bacterial infection in the lungs causes the condition. It usually forms when pneumonia does not respond to treatment completely. Another cause is bronchiectasis, in which lung airways are blocked, which makes the lungs more prone to infection. Empyema occurs through either bacterial or else fungal infections. Of the two, Bacterial infections are the most common, and many types of bacteria can cause Empyema. Similar to bacteria, fungal infections also cause fluid production. Fungal empyema is, however, rare and is linked to a higher mortality rate.
Dr Harsh Vardhan Puri employs a systematic approach to accurately diagnose Empyema. This process involves:
Through this comprehensive approach, Dr. Harsh ensures a precise diagnosis, laying the foundation for effective Empyema treatment in Delhi.
The main aim of the empyema treatment is to cure the infection appropriately by removing the infected pus and ensuring the expansion of the lungs. The treatment options of the condition vary and depend upon the stages of Empyema:
Stage 1
It is also known as an exudative stage or simple Empyema.
Stage 2
Also known as fibrinopurulent phase or complicated Empyema. The condition at this stage is managed by fluid clearance using VATS drainage.
Stage 3
It is also known as the organized phase of Frank empyema; at this stage, surgery, known as 360-degree decortication, is required. The surgery can be performed by VATS, which is a minimally invasive method, or open decortication.
Empyema treatment in Delhi, while generally safe and effective, carries certain inherent risks that patients should be aware of. Here are key points regarding the potential risks associated with Empyema treatment:
Dr Harsh ensures that patients are well-informed about potential risks, aiming to avoid them and provide the best Empyema treatment in Delhi.
Preventing Empyema involves simple yet crucial measures to reduce the risk of infection and respiratory complications. Here are practical tips:
By incorporating these preventive measures into daily life, you can reduce the likelihood of Empyema and promote overall respiratory health.
For personalized and effective Empyema treatment in Delhi, visit Dr Harsh Vardhan Puri Hospital.
Your health is our priority, and we're here to provide expert care.
If you are seeking the best Empyema treatment in Delhi, consulting Dr. Harsh Vardhan Puri is best for you. He is a renowned thoracic surgeon with an expertise in managing complex respiratory conditions comprising empyema. He is the top choice for empyema treatment in Delhi due to his commitment to adopt the latest medical advancements. He follows a patient-centric approach focusing on accurate diagnosis, personalized treatment, and compassionate care.
Q. Can you fully recover from empyema?
When treated promptly and thoroughly, you can recover fully from empyema. Expert thoracic surgeon, Dr. Harsh Vardhan Puri, specializes in treating empyema and guarantees good results. A complete recovery is aided by prompt intervention, drainage techniques, and antibiotic medication. Patients wishing to consult Dr.Harsh Vardhan Puri for empyema treatment in Delhi can benefit from his experience for the best possible outcome.
Q. What is the best treatment for pleural empyema?
Antibiotic medication, surgical intervention, and drainage techniques are usually the best forms of treatment for pleural empyema. For pleural empyema treatment to be successful, prompt and thorough medical care is necessary.
Q. Which antibiotic is best for empyema?
Antibiotics that target the particular bacteria producing the illness are frequently used in the treatment of empyema. Often prescribed antibiotics include MRSA coverage, along with broad-spectrum alternatives like ceftriaxone or cefotaxime. The decision is based on severity, microbiological sensitivity, and individual characteristics. To receive a precise diagnosis and prescription for the best antibiotics for empyema treatment in Delhi, seek expert guidance from Dr Harsh Vardhan Puri.
Q. Can empyema be treated without surgery?
When drainage techniques and antibiotic medication are used, empyema can sometimes be treated non-surgically. However, variables including the degree of infection and fluid buildup determine whether surgery is necessary. To provide the best possible outcomes for individuals suffering from empyema, Dr Harsh Vardhan Puri provides a prompt and thorough medical examination to determine the most appropriate strategy for empyema treatment in Delhi.
Q. How long is a hospital stay with empyema?
The length of hospitalization for empyema is determined by the seriousness of the illness and the selected course of therapy. Patients might stay for a reduced time—typically five to seven days—if they are having drainage treatments. However, the length of the hospital stay might reach ten days or longer if surgery is necessary or if problems occur. Hospital stays are influenced by a patient's reaction to therapy and speed of recovery.
Q. What is the survival rate of empyema?
When prompt and adequate medical assistance is provided, the survival rate for empyema is often rather high. Positive results are influenced by timely drainage treatments, antibiotic medication, and if required, surgical intervention. Obtaining prompt medical assistance and following recommended treatment regimens greatly increase the likelihood of an effective empyema recuperation.

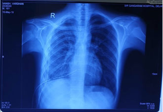
Pre operative X-Ray of Empyema

Post operative X-Ray after VATS decortication